高新医院 让每一位患者入住满意,让家人放心的综合医院 Let every patient satisfied, let family rest assured nursing home
您的位置: 首页 > 科室简介 > 心血管内科 > 案例展示 > 通急诊绿色通道挽救急性下壁心梗患者生命,心血管内科高超医术妙手回春!

通急诊绿色通道挽救急性下壁心梗患者生命,心血管内科高超医术妙手回春!

更新时间:2020-12-29  14:55:14     点击次数:415

  张先生于近日在家中干农活时,因劳累过度突发胸痛胸闷,突感恶心呕吐,瘫倒在地。在旁的儿子急忙扶起父亲,实在挺不下去的张先生紧急拨打120,在儿子的陪同下来到哈尔滨高新医院寻求******。

  通过检查发现张先生下壁心梗严重,张先生出现低血压、少尿、急性心衰,随时有休克的危险,如不能及时开通闭塞的血管,随时有死亡的危险。起病5小时内行开通闭塞的血管,可******限度挽救濒死的心肌。


  就在这寸时寸金的关键时刻,由于事发突然,张先生的儿子小张并未带多少钱,面对突如其来的状况,可难坏了张先生的儿子,看着危重的父亲,急的小张在交费窗口团团打转,眼眶已经湿润。

  医护人员******时间将情况反馈给龙江名医、哈尔滨高新医院院长姜文理。在了解到患者的情况后,龙江名医姜文理院长迅速作出指示为张先生开通高新医院应急预案急诊绿色通道,务必以张先生生命健康为重,积极采取手术******措施,切实做到让患者就医“不求人、少跑腿”,得知龙江名医为自己的父亲开通急诊绿色通道的小张如释重负,压在胸口的一块石头终于放下,使得小张及张先生感动万分。

  心内科全体医护人员严阵以待,在邸爱群主任的带领下为张先生完善相关检查,进行血栓抽吸术,手术有条不紊的进行,据了解血栓抽吸术是一种******血栓的快速有效的微创方法。利用导丝导管将血栓抽吸头端装置置入血栓远端,由远及近,开始血栓抽吸。


  抽出的血栓

  并进行支架植入术,支架植入术属于微创手术,经过精心的手术,支架在心血管内科主任邸爱群的熟练操作下下,顺利进入心血管狭窄位置,医护人员协同努力,成功为张先生的急性下壁心梗进行了血栓抽吸术和支架植入术。


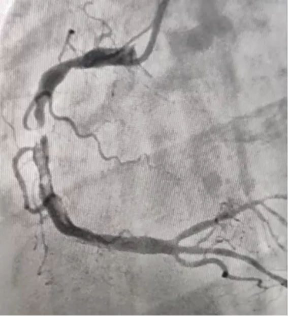
  支架前


  在高新医院心血管内科同仁及护理团队精心照料下,张先生已康复出院,术后病情稳定,正处康复期。


  支架后血运通畅

  张先生术后表示自己就是一个朴实的农民,是哈尔滨高新医院救了自己,不但邸主任医术妙手回春 ,更感谢高新医院姜文理院长为自己开通急诊绿色通道,在没有钱的情况下,******时间为自己进行手术,使自己重获新生, 不但挽救了自己生命,更拯救了自己的家庭,自己是一个农民不会说啥,纵然有千言万语也难以表达自己对高新医院医护人员的感谢。

  姜文理院长表示高新人一直以来,始终秉承社会责任,勇于担当使命,关心百姓健康,有情怀有温度,做咱老百姓身边自己的医院。日行一善,雪中送炭,全体医护人员秉承“诚信、博爱、精医、惠民”的高新精神,以优质的医疗服务为咱们龙江人健康保驾护航,切实解决百姓看病难、看病贵的问题。

  美国GE-数字减影血管造影(DSA)


  心血管内科

  高新医院拥有国内******进美国GE大平板DSA设备及完善介入手术室,满足各类心脏疾病需求,心血管内科开展项目包括:

  诊断性:

  右心导管、造影术

  左心导管、造影术

  冠状动脉造影

  心内膜心肌活检

  心血管腔内超声检查

  心电生理检查

  (心电描记、程序刺激)

  ******性:

  经静脉人工心脏起搏器

  经皮冠状动脉腔内成型术

  (扩张、支架、旋磨、旋切、激光)

  经皮心脏瓣膜、血管成型

  (球囊、支架、人工瓣膜)

  经皮先心脏缺损封堵术心率失常消融术

上一篇:暂无

下一篇:暂无


服务热线:

0451-84107777

地址:哈尔滨市道里区机场路副 212 号
版权:哈尔滨高新医院

官方平台

服务热线

0451-84107777

二维码

二维码